Elevating my Experience: Living as an intersex individual with XXY Klinefelter's Syndrome
This post is about Klinefelter syndrome (KS), a genetic condition affecting 1 in 500 to 1000 males, yet remains underdiagnosed and misunderstood.
KS is almost never talked about, and many people don't even know they have it. Within this post I aim to raise awareness, share my ongoing journey, and help others feel less alone.
So what is Klinefelter Syndrome exactly?
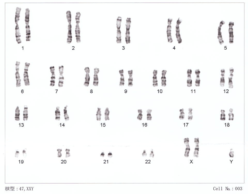
Klinefelter syndrome is a genetic condition where males are born with an extra X chromosome (XXY instead of XY). This is random, with the extra X coming from both parents equally, although an older mother increases the likelihood of it.
Symptoms for KS exist within this huge spectrum, one in which each males experience is totally different. From starting puberty late, to being abnormally tall, to low testosterone, the signs can vary if they show up at all. Many never even realize they have it, until they try to have children, struggle with hormonal imbalances, or have unrelated health concerns.
My Personal Journey with KS
To be honest my journey to understanding or even being aware of Klinefelter's syndrome started at Nationwide Children's Hospital, with these monthly visits around the age of 16 to get testosterone shots.
I think I was a junior in high school when I started, getting the shots, but it wasnt until i asked my parents about the shots that they sat me down with my Doctor and he answered my questions.
The biggest questions for a 17-year-old me for him were: Would I be able to serve my country, and could I have kids?
The doctor said no to both, saying I'd never be strong enough to serve, and I'd be infertile. These things crushed me within that day or moment, but time eventually came to disprove those claims.
My journey with KS has honestly been an amazing journey, and I love being intersex, as its shown me all the different ways one can be different while presenting as synonymous to the rest of the population. Finding where I fit between the XX and XY has been amazing too, as I can embrace my femininity without fear.

The Challenges of KS: Deciphering the Myths
Myth: KS only affects testosterone.
Truth: It can affect more including secondary sex characteristics, height, and mental health.
Myth: People with KS cant live normal lives.
Truth: With dedicated hormone therapy, support structures, and awareness, many people with KS live full, active lives.
Myth: Its rare.
Truth: 1:500 births compared to the world population, makes it one of the most common chromosomal conditions, albeit underdiagnosed.
Luckily i didn't have to wonder or navigate through anything, because I got further care and information in the military on this condition.
What Helped Me and What I Want others to Know
Personally I'm blessed to receive care from the Veterans Affairs Outpatient Clinic here in my state, as I have an endocrinologist as well as other doctors to meet my healthcare needs. I say that because I've have no knowledge of the private healthcare system, how to get hormones as a civilian, etc. From those I see on TRT (Testosterone Replacement Therapy) or HRT (Hormone Replacement Therapy), its not an easy process.
I will say what has helped me the most is a constant supply of testosterone daily, vs the prior method of monthly injection.
During COVID I found out about LivingwithXXY which is a nonprofit founded by Ryan Bregante, the Founder and President of the organization. He and his team provided a sense of belonging, awareness, and the realization that other KS people not only existed but they were breaking past the once thought solid barriers of what we could and couldn't do.
I'd suggest figuring out what having Klinefelter's, means to you. Identity, biologically, culturally and societally. For me I see myself as a biologically intersex individual, more specifically an intersex male. I have to admit i still don't truly understand myself, I discover new things every day.
Find your community. The way I see it, I was born into the LGBTQIA+ community, and as someone with the best of both chromosomes, I feel responsible for that community since I'm literally representative of the spectrum, but thats just me. That community has been very accepting of me.
If you can find a sex therapist in the private sector, I'd highly recommend that, as it helped me navigate relationships and sex while taking into consideration in a constructive way, how to compensate for things I don't commonly experience.
Final Thoughts
I didn't know my own body and to this day I'm finding out more about my body and others with these type of conditions. I will say though, that ever since I was told, life and figuring ME out has been GOATED. I've found that having this makes me feel so rare, so special, even though other people have this condition, none of us is the same.